Comienza el cambio, contáctanos
Mejora tu sonrisa, mejorará tu vida
La tecnología más puntera: escáner intraoral itero
En nuestra clínica de Madrid contamos con la tecnología más puntera, como es el caso del escáner intraoral ITERO.
Se trata de un procesador de última generación que realiza un escáner de toda la boca en 60 segundos y permite conocer el resultado final antes de comenzar el tratamiento.
Además, cuenta con una pantalla panorámica de alta definición permitiendo visualizar la transformación de la dentadura al completo.
Comienza el cambio, contáctanos
Santi, uno de nuestros pacientes, nos cuenta su experiencia con el tratamiento que nuestra doctora certificada como Invisalign Provider ha diseñado para él.
Su punto a destacar es el cuidado humano del equipo de Clínica Castelo en cada parte del proceso, tanto a nivel personal como técnico.
Nuestra Directora médica, Begoña Fraile, especialista en ortodoncia invisible está certificada por Align Technology Inc, laboratorio fabricante de Invisalign, con la distinción Platinum Elite II. Esta certificación consiste en una formación especializada en el uso de ortodoncia invisible ofrecida por el laboratorio proveedor.
Consigue la sonrisa que deseas de forma cómoda gracias al tratamiento estrella de ortodoncia invisible en Madrid.
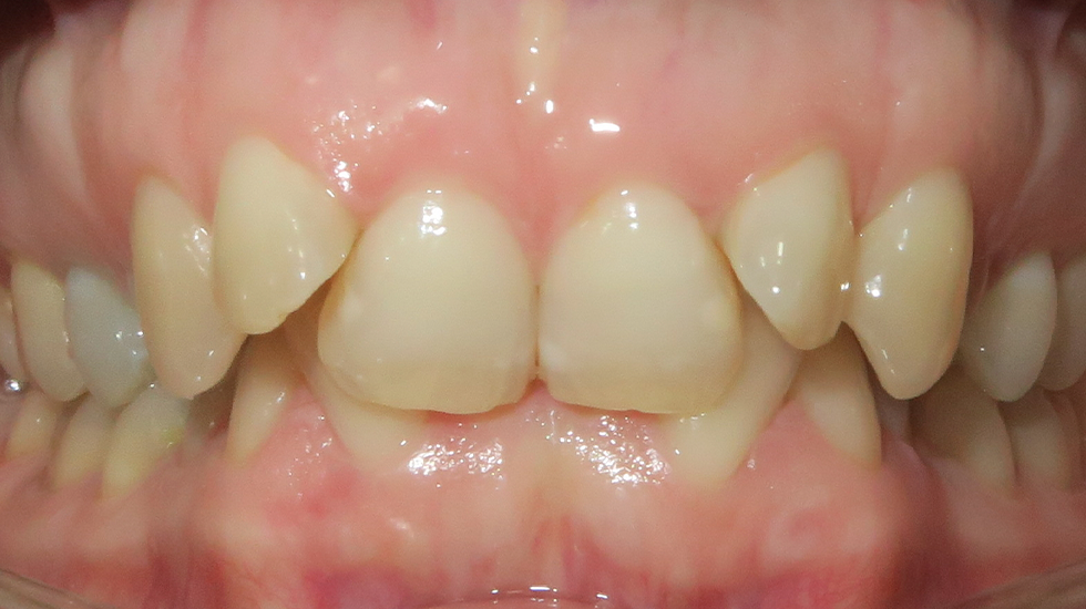
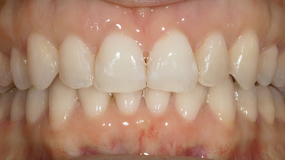
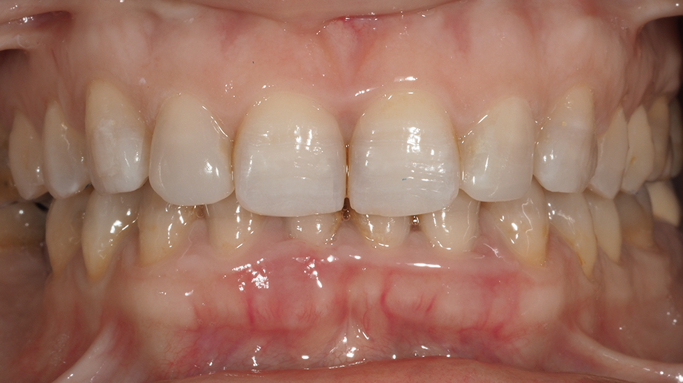
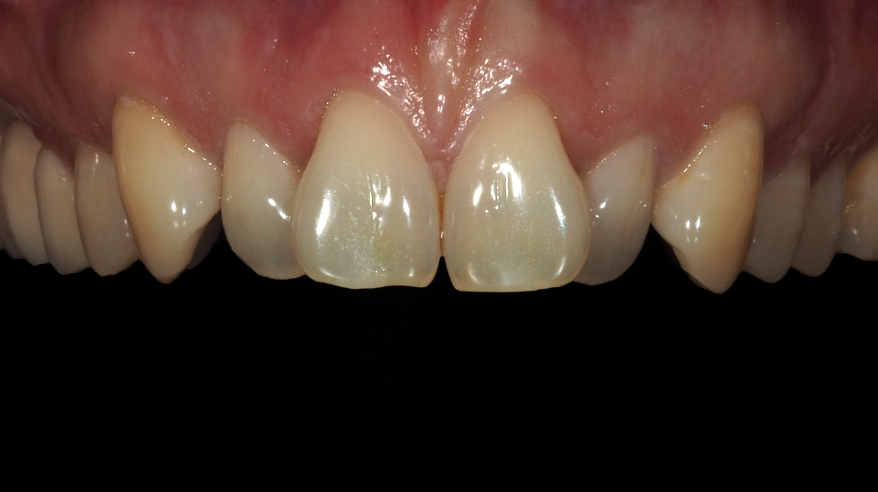
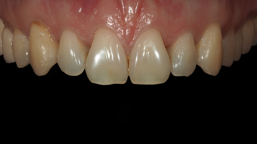
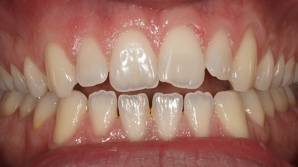
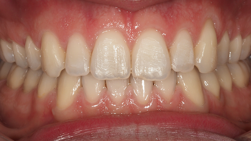
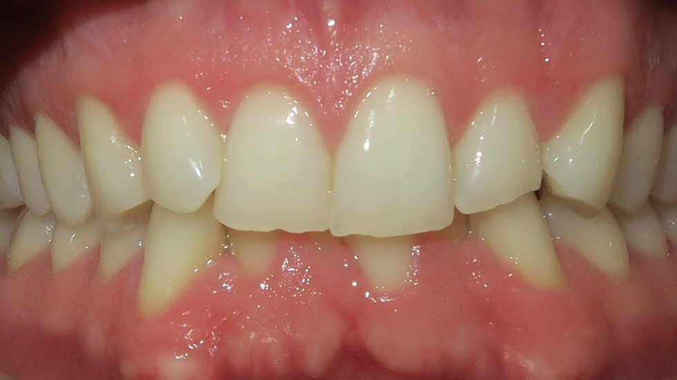
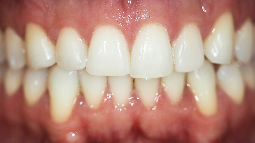
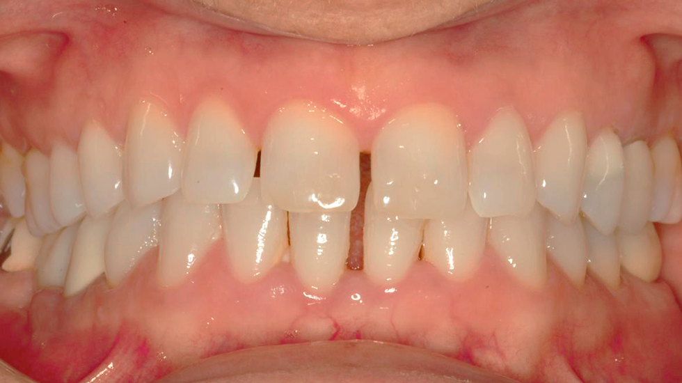
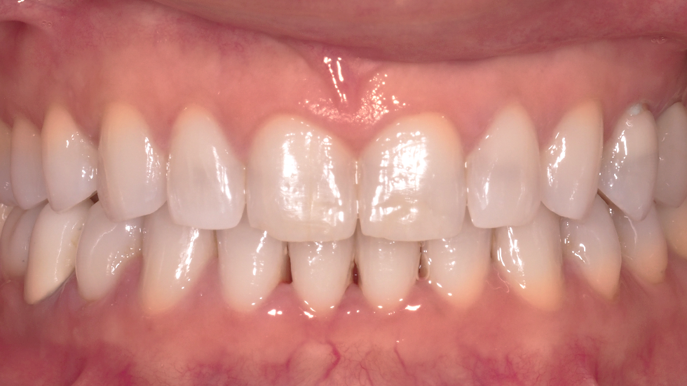
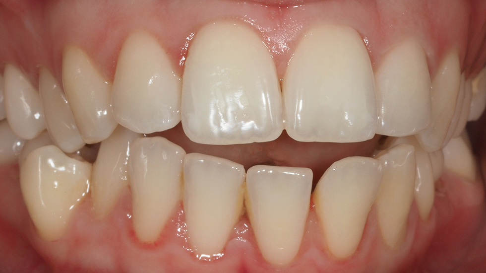
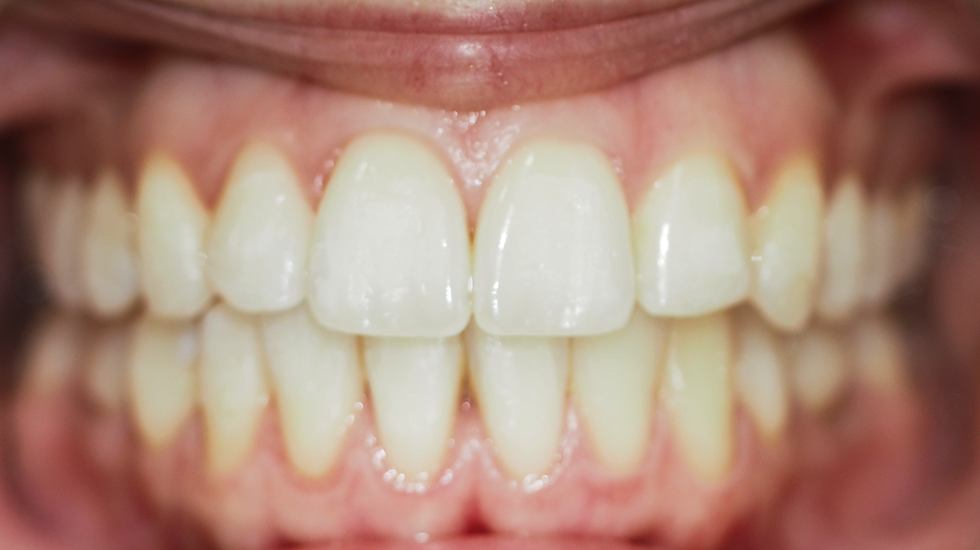
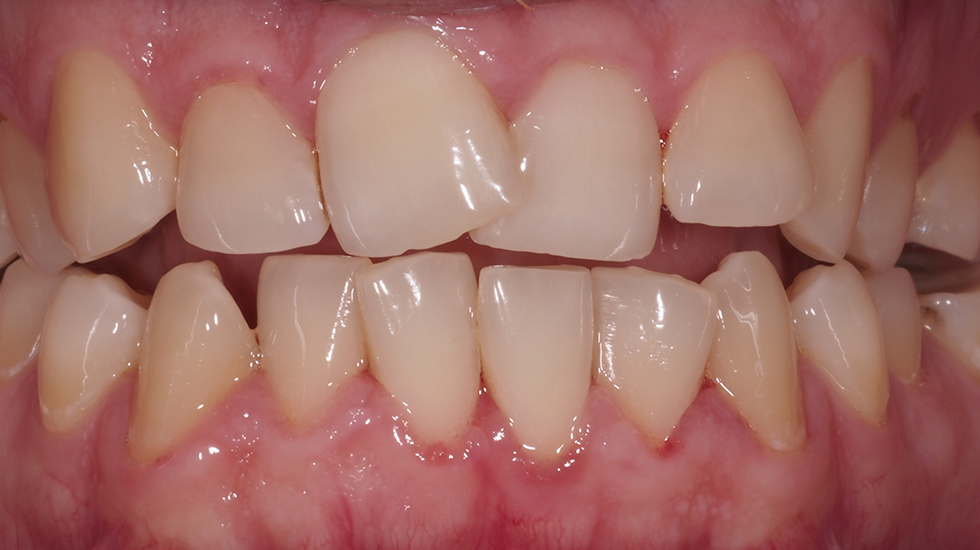
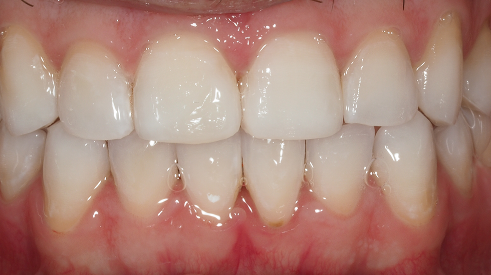
La ortodoncia invisible, especialmente con Invisalign, ofrece una forma discreta y efectiva de mejorar la alineación dental. En nuestra clínica, hemos ayudado a muchos pacientes a transformar sus sonrisas. A continuación, te mostramos cuatro casos destacados de antes y después, donde podrás ver cómo este tratamiento ha corregido apiñamientos, problemas de mordida y más, logrando resultados sorprendentes y duraderos.
















A continuación te indicamos algunas de las ventajas de utilizar un aparato dental invisible:
La limpieza y los cuidados de la ortodoncia invisible son muy importantes en el tratamiento. La limpieza es muy sencilla y rápida, deberás hacerla una vez al día al levantarte.
La mejor manera de limpiar los alineadores invisibles es con agua tibia, frotando de manera suave, con un cepillo y jabón neutro. La limpieza se deberá realizar por las dos caras de la ortodoncia, esto eliminará cualquier resto de suciedad.
Si quieres hacer una limpieza más profunda, es recomendable que uses pastillas limpiadoras que además desinfectan la superficie de los alineadores. Bastará con añadir una pastilla a un vaso con agua tibia y sumergir los alineadores durante 15 minutos. De esta forma, eliminarán fácilmente los restos de sarro acumulados.
Recuerda guardar el aparato de dientes transparente en su caja cuando no lo estés usando, así se mantendrá en las mejores condiciones y evitarás que se pierdan.
La duración del tratamiento con ortodoncia invisible puede variar dependiendo de cada paciente y del estado de su boca, así como del tipo de alineadores transparentes que se coloquen. Normalmente suele durar entre los 6 y 18 meses.
No obstante, para estimar una duración aproximada del tratamiento, lo ideal es que acudas a una primera cita totalmente gratuita para poder realizar el estudio previo de tu caso.
Hay distintos tipos de alineadores transparentes, la diferencia entre ellos es el número de férulas que requiere cada uno y en consecuencia la duración del tratamiento. Podemos diferenciar:
Invisalign express – i7
Es el indicado para pequeñas correcciones. El número de férulas usadas es de 7 y la duración puede ir de 3 a 6 meses.
Invisalign Lite
Su uso es el indicado para malposiciones leves o retratamientos. Incluye hasta 14 férulas y la duración va de 7 a 9 meses.
Invisalign Moderate
Se utiliza para casos de complejidad moderada que están en torno a 10-12 meses de duración.
Invisalign Comprehensive – Full
Es el más utilizado y completo. Con él se consiguen mejores resultados ya que es capaz de tratar casos complejos. Su duración oscila de 12 a 24 meses, dependiendo de la dificultad del caso.
Invisalign Teen
Es el tratamiento perfecto para adolescentes. No tiene límite de número de férulas puesto que permite guiar el nacimiento de piezas dentales definitivas que aún no han salido. Además, incorpora un sistema de control de seguimiento para saber si el paciente cumple con el plan establecido. Cubre 3 reposiciones de férulas.
Invisalign First
Indicado para pacientes infantiles. A partir de 6 años se puede utilizar.
Comienza el cambio, contáctanos


Nuestro tratamiento de ortodoncia invisible en Madrid no es doloroso, en comparación con los brackets tradicionales. Sin embargo, es normal experimentar algunas molestias o presión, especialmente durante los primeros días después de iniciar el uso de un nuevo conjunto de alineadores.
Esta sensación de presión es una señal de que los alineadores están funcionando correctamente, ya que están moviendo los dientes gradualmente hacia su posición deseada. La mayoría de los pacientes describen esta molestia como leve y temporal, desapareciendo generalmente después de unos días a medida que se adaptan a los nuevos alineadores.
La mayoría de los pacientes aseguran que la ortodoncia invisible no les afecta al habla. No obstante, hay que tener en cuenta que, por el hecho de llevar algo nuevo en la boca, suele ser necesario un período de adaptación. Durante los primeros días, algunos usuarios pueden experimentar ligeras dificultades para pronunciar ciertos sonidos, especialmente aquellos que requieren un contacto preciso entre la lengua y los dientes, como las letras «s» y «z».
Este efecto es temporal y, en la mayoría de los casos, desaparece a medida que el paciente se acostumbra a los alineadores. El cerebro y la musculatura oral rápidamente se adaptan a la presencia de los alineadores, permitiendo que el habla vuelva a la normalidad en un corto período de tiempo, generalmente en unas pocas semanas.
Las férulas se deben llevar un mínimo de 20 horas al día para asegurar su efectividad. Es importante retirarlas únicamente para comer y lavarse los dientes. Mantener este régimen es clave para que el tratamiento ortodóncico progrese según lo previsto.
En cuanto a la higiene de las férulas, deben lavarse al menos una vez al día. Es recomendable hacerlo con un cepillo suave y agua tibia, evitando el uso de pastas dentales abrasivas que podrían rayar el material de las férulas. Algunos pacientes también optan por usar productos específicos para limpiar alineadores, pero en general, un cepillado suave es suficiente para mantenerlas limpias y libres de bacterias.
Además, es aconsejable enjuagar las férulas con agua cada vez que se quiten antes de volver a colocarlas, para eliminar cualquier residuo acumulado durante el día. Mantener una rutina de limpieza adecuada no solo ayuda a preservar las férulas, sino que también contribuye a la salud bucal en general durante el tratamiento.
Actualmente con Invisalign First se puede empezar a tratar pacientes desde los 6 años que comienza el recambio dentario de dientes de leche a los dientes definitivos. Esto permite guiar los dientes permanentes directamente a la posición correcta desde el principio.
En general, los adolescentes a partir de los 12 años suelen ser buenos candidatos para el tratamiento con ortodoncia invisible, siempre y cuando tengan todos sus dientes permanentes.
Para los adultos, no hay una edad máxima para iniciar el tratamiento. Los alineadores invisibles son una opción efectiva para corregir una amplia variedad de problemas ortodóncicos, sin importar la edad del paciente. Sin embargo, es fundamental realizar una evaluación ortodóntica completa para asegurar que el tratamiento sea adecuado y efectivo según las necesidades individuales del paciente.
No recomendamos fumar durante el tratamiento de ortodoncia invisible. Aunque los alineadores transparentes son removibles, fumar puede tener varios efectos negativos en el tratamiento y en la salud bucal en general.
En primer lugar, el tabaco puede manchar los alineadores, lo que puede hacer que se vuelvan visibles y menos estéticos. Además, el humo del tabaco puede causar acumulación de placa y sarro, lo que aumenta el riesgo de problemas dentales como caries y enfermedad de las encías, y puede interferir con el progreso del tratamiento.
Si bien puedes quitarte los alineadores para fumar, es crucial mantener una buena higiene bucal y limpiar los alineadores regularmente para evitar problemas. Para optimizar los resultados y mantener la salud bucal, es mejor reducir o, idealmente, dejar de fumar durante el tratamiento. Si tienes dificultades para dejar el hábito, considera hablar con tu dentista o un profesional de salud sobre estrategias y recursos para ayudarte.
Antes de iniciar nuestro tratamiento de ortodoncia invisible, realizamos en nuestra clínica en Madrid un estudio exhaustivo del paciente. Este proceso incluye la toma de fotos de la boca y de la cara, se hacen radiografías intraorales y se realiza un escáner 3D de la boca, el cual genera un archivo digital que se sube automáticamente a la plataforma del laboratorio asociado.
Con estos datos, se planifican los movimientos dentales necesarios y se ajustan los alineadores a las necesidades específicas del paciente. Una vez que la planificación es aprobada, se reciben todas las férulas para el tratamiento. Además, el paciente tiene la oportunidad de ver el «ClinCheck», una simulación digital que muestra cómo se moverán los dientes y cómo quedará la sonrisa al final del tratamiento.
En el día de inicio del tratamiento, se realiza una sesión práctica con el paciente para ensayar la colocación y retirada de las férulas. También se proporcionan instrucciones detalladas sobre la higiene oral y el uso adecuado de los alineadores. Esto asegura que el paciente esté completamente preparado para seguir el tratamiento de manera efectiva y cómoda.
Adaptarse a la ortodoncia invisible generalmente es facil, aunque puede requerir un breve período de adaptacion. Al principio, es común sentir una ligera presión mientras los dientes comienzan a moverse. Esta sensación suele ser temporal y disminuye a medida que el paciente se acostumbra a los alineadores.
Además, al inicio, algunos pacientes pueden experimentar cambios leves en su forma de hablar debido a la presencia de los alineadores en la boca. Sin embargo, este efecto suele ser breve, y la mayoría de las personas se adaptan rápidamente.
El proceso de adaptación suele durar de unos pocos días a una semana. Durante este tiempo, es importante seguir las instrucciones del ortodoncista para el uso y cuidado de los alineadores. Con el tiempo, el uso de los alineadores se vuelve una parte natural de la rutina diaria, y muchos pacientes encuentran que el tratamiento es bastante cómodo y conveniente en comparación con los métodos ortodóncicos tradicionales.
La ventaja de la ortodoncia invisible, como Invisalign, es que los alineadores son removibles, lo que facilita la alimentación sin restricciones estrictas. A diferencia de los brackets tradicionales, que pueden tener limitaciones en cuanto a los alimentos que se pueden consumir para evitar daños, los alineadores invisibles permiten una mayor flexibilidad.
Para comer, simplemente retira los alineadores antes de las comidas y podrás disfrutar de cualquier tipo de alimento. Sin embargo, es crucial mantener una buena higiene oral; asegúrate de cepillarte los dientes y enjuagarte la boca después de cada comida antes de volver a colocar los alineadores. Esto ayuda a prevenir la acumulación de placa y mantiene tanto los dientes como los alineadores limpios y libres de residuos.